Una nueva prótesis ocular ha logrado devolver la visión a personas con ceguera irreversible a consecuencia de una atrofia geográfica, la última etapa de una forma de degeneración macular asociada a la edad (DMAE), que afecta, aproximadamente, a 5 millones de personas en el mundo.
Un equipo internacional de científicos europeos y estadounidenses llevaba dos décadas trabajando en el desarrollo de este dispositivo, que han probado con éxito en un ensayo con 38 pacientes de 17 centros hospitalarios de 5 países. Sus resultados aparecen recogidos este lunes en la revista New England Journal of Medicine.
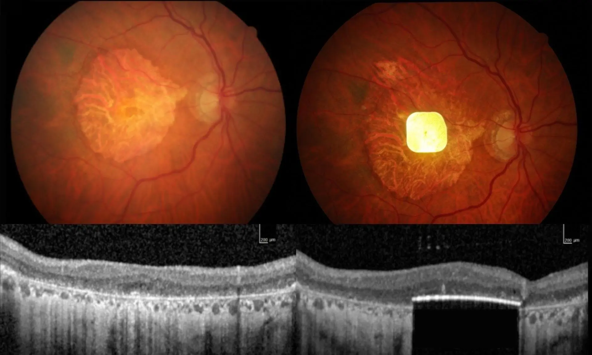
Los 32 pacientes, de más de 60 años, padecían la citada atrofia geográfica por degeneración macular asociada a la edad, una dolencia, hasta ahora incurable, que va deteriorando lentamente la visión. En el momento del ensayo contaban solo con una visión periférica limitada.
Un año después de contar con el dispositivo, llamado Prima, 27 de los 32 participantes (el 84%) recuperaron la capacidad de leer letras, números y palabras a través del ojo que había perdido la vista.
Un microchip fotovoltaico inalámbrico
Prima es un dispositivo compuesto por dos partes, un microchip inalámbrico que se implanta en la parte posterior del ojo y unas gafas de realidad aumentada.
El microchip es ultrafino, mide 2 por 2 milímetros y tiene forma de tarjeta SIM. Se coloca en el ojo mediante un procedimiento llamado vitrectomía. En él, se extrae el gel vítreo, situado entre el cristalino y la retina, y se inserta el chip bajo el centro de la retina del paciente.
Una pequeña cámara, instalada en las gafas de realidad aumentada, captura imágenes del exterior. Estas se proyectan en tiempo real, mediante luz infrarroja, en el microchip del ojo.
El chip es sensible a esa luz infrarroja y cumple las funciones de los fotorreceptores naturales dañados por la enfermedad.
El dispositivo es fotovoltaico y solo necesita luz para generar estímulos eléctricos. No requiere alimentación externa, a diferencia de otras prótesis oculares previas que necesitaban algún tipo de “cable” fuera del ojo.
El diseño permite a los pacientes usar su visión periférica natural junto con la visión central proporcionada por la prótesis. Esto les ayuda a orientarse y desplazarse.
"El hecho de que una persona vea simultáneamente con la visión protésica y la periférica es importante. Pueden fusionarlas y aprovechar al máximo la visión", señala Daniel Palanker, investigador de oftalmología de la Universidad de Stanford.
Fases de recuperado de la visión
Los pacientes comenzaron a usar las gafas de realidad aumentada entre cuatro y cinco semanas después de la implantación del microchip en el ojo. Aunque algunos pudieron distinguir los patrones de inmediato, la agudeza visual de la mayoría mejoró tras meses de entrenamiento, algo similar a otros implantes desarrollados para recuperar la audición.
De los 32 pacientes que completaron el ensayo de un año, 27 lograron leer y 26 mostraron una mejora clínicamente "muy significativa" en la agudeza visual, que se definió como la capacidad de leer al menos dos líneas adicionales en una tabla optométrica estándar.
Los participantes en el ensayo clínico lograron alcanzar una agudeza visual de hasta 20/42. Esta capacidad mejoró, de media, en 5 líneas, habiendo quien la recuperó en 12 líneas.
La mayoría de participantes usan la prótesis en su vida cotidiana para leer libros, etiquetas de alimentos o señales callejeras o de transporte público.
Las gafas permiten ajustar el contraste y el brillo y cuentan con un zoom para ampliar hasta 12 veces. Según los autores, dos tercios de los participantes han expresado una satisfacción media-alta con el dispositivo.
Diecinueve de los 32 pacientes experimentaron efectos secundarios, como hipertensión ocular, desgarros en la retina periférica y acumulación de sangre bajo la retina.
Sin embargo, las contraindicaciones se solucionaron en un máximo de dos meses y no pusieron en riesgo la vida de los pacientes, informan los autores.
Próximos pasos
De momento, Prima solo ofrece visión en blanco y negro. No incluye tonos intermedios, por lo que los investigadores desarrollan un software que permitirá distinguir toda la gama de grises.
"El primer deseo de los participantes es leer. El siguiente es el reconocimiento facial, y para eso necesitamos un software que reconozca los tonos grises", apunta Palanker.
Él y el resto del equipo trabajan también en chips que ofrezcan una visión de mayor resolución, y en gafas con aspecto más elegante. Otro de sus objetivos es probar el dispositivo para otros tipos de ceguera causados por la pérdida de fotorreceptores.
Este exitoso ensayo con humanos, el dispositivo Prima, es la culminación de décadas de desarrollo, prototipos y experimentos con animales.
🔗 Síguenos en nuestras redes:
X | Telegram | Instagram
Facebook | Threads | YouTube
🙏 ¡Tu apoyo es importante!
🔻DESCARGAR NUESTRA APP "Info ENN"
El Nuevo Norte es un periódico digital dominicano fundado el 12 de febrero de 2006 por el periodista Junior Henríquez, quien funge como director y fundador. A través de la web infoelnuevonorte.com, el medio ofrece información veraz y oportuna sobre los acontecimientos sociales, políticos, comunitarios y de actualidad general, tanto a nivel nacional como internacional, promoviendo un periodismo responsable, participativo y comprometido con la libre expresión y el fortalecimiento de la democracia informativa.



